Θεραπεία με γλωσσικά-αόρατα σιδεράκια

Η γλωσσική ορθοδοντική απευθύνετε σε εσάς που επιθυμείτε μια αόρατη ορθοδοντική θεραπεία!

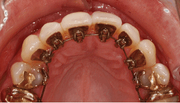
Είναι η πιο διακριτική μέθοδος ορθοδοντικής θεραπείας. Τα «γλωσσικά σιδεράκια» ή «αόρατα» συγκολλούνται στο εσωτερικό των δοντιών και η επιπέδωση γίνεται με ειδικά εξατομικευμένα σύρματα από μέσα. Τα αποτελέσματα είναι άμεσα αντιληπτά αφού δεν θα έχετε σιδεράκια να «κρύβουν» τα δόντια σας. Το χαμόγελό σας θα βελτιώνεται συνεχώς από την αρχή της θεραπείας σας.

Το πλεονέκτημα αυτής της μεθόδου έναντι της θεραπείας με τους διαφανείς νάρθηκες είναι ότι η θεραπεία δεν εξαρτάται από τις ώρες χρήσεις του νάρθηκα και δεν χρειάζεται να τα βγάζετε κάθε φορά που θέλετε να φάτε κάτι.



1η επίσκεψη

Καλέστε μας στο 2109940366 για να κλείσετε ραντεβού για μια ορθοδοντική αξιολόγηση. Θα συζητήσουμε από κοντά ποια είναι η καλύτερη μέθοδος αόρατης ορθοδοντικής θεραπείας για εσάς, ανάλογα με τις επιθυμίες σας και τις ορθοδοντικές σας ανάγκες.