Άπνοια Ύπνου - Ροχαλητό

H Άπνοια Ύπνου ( Sleep Apnea )είναι μια διαταραχή, η οποία χαρακτηρίζεται από πρόσκαιρη διακοπή της αναπνοής κατά τη διάρκεια του ύπνου. Ο ασθενής συνήθως έχει έντονο ροχαλητό το οποίο διακόπτεται μαζί με την αναπνοή για λίγα δευτερόλεπτα . Η άπνοια ύπνου, ή όπως λέγεται επιστημονικά Σύνδρομο Αποφρακτικής Άπνοιας Ύπνου μπορεί να έχει πολύ σοβαρές επιπτώσεις στην υγεία. Η διάγνωση πρέπει να γίνεται από ειδικό Πνευμονολόγο με ειδικά τεστ ύπνου.


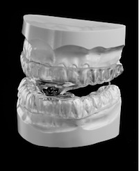
Άπνοια Ύπνου και Ορθοδοντική

Στο ιατρείο μας μπορούμε να συμβάλουμε στην αντιμετώπιση της Άπνοιας Ύπνου και του Ροχαλητού παρέχοντας στον ασθενή εξατομικευμένες ορθοδοντικές συσκευές «μασελάκια» τα οποία φοράει στα δόντια κατά τη διάρκεια του ύπνου. Οι συσκευές άπνοιας ύπνου στηρίζουν την κάτω γνάθο σε πρόσθια θέση διευκολύνοντας έτσι την αναπνοή στον ύπνο. Είναι πολύ πιο εύκολα ανεκτές για τον ασθενή από το CPAP και συνίστανται σε ασθενείς που δεν μπορούν να ανεχθούν το CPAP ή έχουν ήπια άπνοια ύπνου. Η επιλογή της κατάλληλης συσκευής γίνεται από την ορθοδοντικό ανάλογα με τα ιδιαίτερα χαρακτηριστικά των δοντιών και της γνάθου του κάθε ασθενή καθώς και τη σοβαρότητα και το είδος της άπνοιας ύπνου. Η βελτίωση των συμπτωμάτων της άπνοιας ύπνου είναι άμεση. Δηλαδή μείωση/εξάλειψη του ροχαλητού, αύξηση της ενέργειας και της δραστηριότητας του ασθενούς κατά την διάρκεια της ημέρας, εξάλειψη της ημερήσιας υπνηλίας, βελτίωση της ποιότητας του ύπνου, κά.


Ροχαλητό

Οι συσκευές για το ροχαλητό λειτουργούν με ανάλογο τρόπο με τις συσκευές για την άπνοια ύπνου. Ο ασθενής τις φοράει στα δόντια κατά τη διάρκεια του ύπνου. Εμποδίζουν την γνάθο να “πέσει προς τα πίσω” , έτσι διευκολύνουν την δίοδο του αέρα στο φάρυγγα και ο ασθενής κοιμάται χωρίς να ροχαλίζει!


Η Σοφία Μαυρουδή και συν. έλαβαν το Ευρωπαϊκό βραβείο της European Federation of Orthodontics FEO για το 2012 για την δημοσίευση της επιστημονικής της διατριβής για την Άπνοια Ύπνου με τον τίτλο: «Σύγκριση χαρακτηριστικών του οδοντοφατνιακού και σκελετικού συμπλέγματος του φάρρυγγα, της μαλθακής υπερώας και του υοειδούς οστού σε πλάγιες κεφαλομετρικές ακτινογραφίες ασθενών με σύνδρομο αποφρακτικής άπονοιας ύπνου με ή χωρίς μεταβολικό σύνδρομο. Σοφία Κ. Μαυρουδή, Ευφημία Δασκαλοπούλου-Βλαχογιάννη, Αθανάσιος Ε. Αθανασίου (2012).